Боль в стопе, словно иголки или камушек, которого нет? Это может быть неврома Мортона — доброкачественное утолщение нерва, вызывающее мучительный дискомфорт. Ходить становится сложно, а привычная обувь — невыносимой. Но есть решение! Узнайте, как распознать симптомы и вернуть свободу движений с помощью современных методов лечения.
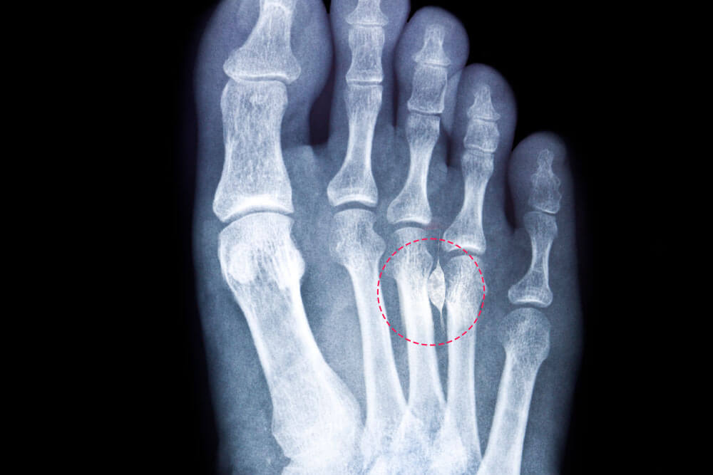
Неврома Мортона — это не рак. И даже не "настоящая" опухоль в онкологическом смысле. Это доброкачественное утолщение (фиброз) тканей вокруг плантарного нерва, чаще всего в третьем межплюсневом промежутке (между основаниями 3-го и 4-го пальцев). Нерв как бы зажат, сдавлен между головками плюсневых костей и глубокой поперечной плюсневой связкой, что вызывает его хроническое раздражение, воспаление и последующее утолщение периневральных тканей. В принципе, это компрессионная невропатия, специфическая для переднего отдела стопы. Например, статистика показывает, что метатарзалгия, вызванная невромой Мортона, в 8-10 раз чаще встречается у женщин 35-60 лет, что напрямую связывают с ношением обуви на высоком каблуке и с узким носком, а также с такими состояниями, как поперечное плоскостопие или hallux valgus, которые изменяют биомеханику стопы и увеличивают давление на плюсну.

Клиническая картина обычно развивается постепенно. Сначала возникает периодическое, едва заметное покалывание или онемение в области подушечки стопы после длительного пребывания на ногах или ношения неудобной обуви, которое быстро проходит после отдыха и снятия обуви. Значит, если симптомы игнорируются, состояние прогрессирует. Ключевые признаки межплюсневый невромы включают:
Итак, если характерное облегчение наступает сразу после снятия обуви и массажа стопы, вероятно, это неврома Мортона, а не, скажем, стрессовый перелом плюсневой кости или артрит плюснефалангового сустава.

Допустим, вы заподозрили у себя проблему и обратились к врачу (ортопеду, травматологу). Что будет? Диагностика начинается с тщательного клинического осмотра стопы. Врач проведет пальпацию межплюсневых промежутков, оценит пульсацию сосудов, чувствительность и двигательную функцию пальцев, и обязательно выполнит специфические тесты:
Консервативное лечение:
Основная цель – уменьшить компрессию нерва и снять воспаление в межплюсневом промежутке. Значит, комплекс мер включает:
Коррекция обуви: это фундамент! Необходима обувь с широким, высоким и мягким носком, адекватной полноты, на низком (до 3-4 см), устойчивом каблуке или платформе с хорошими амортизирующими свойствами. Важно: "никаких шпилек и узких лодочек". Идеальна обувь с рокерной подошвой, которая снижает нагрузку на плюсну при перекате.
Индивидуальные ортопедические стельки (ортезы полного контакта): фактически, самый важный элемент после смены обуви. Изготавливаются по слепку стопы. Обязательно включают метатарзальный пелот (подушечка под плюсну), который приподнимает и разводит головки плюсневых костей, создавая больше пространства для нерва и снижая давление на него. Также стельки корректируют своды стопы, улучшая биомеханику ходьбы.
Медикаментозная терапия:
Однако стоит отметить, если комплексная консервативная терапия, проводимая в течение 3-6 месяцев, не приносит облегчения, или симптомы возвращаются сразу после прекращения лечения, значит, логично встает вопрос о хирургическом вмешательстве как радикальном методе устранения компрессионной невропатии.
Важно! Все перечисленные выше методы могут вызывать побочные эффекты, перед применением - нужно проконсультироваться с врачом.
Допустим, момент для операции настал. Что дальше? Основные типы операций при невроме Мортона:
Итого, после любой операции на стопе по поводу невромы Мортона необходим период восстановления: первые дни – покой и возвышенное положение стопы, затем ходьба в специальной ортопедической обуви с разгрузкой переднего отдела (обувь Барука) или в широкой мягкой обуви в течение 2-4 недель. Физиотерапия помогает ускорить заживление и восстановить функцию. Полная нагрузка возможна через 3-6 недель.

Предотвратить развитие или рецидив невромы Мортона можно, следуя несложным, но важным правилам, направленным на поддержание правильной биомеханики стопы и снижение нагрузки на плюсну:
Своевременная коррекция деформаций стопы: Лечение поперечного плоскостопия и hallux valgus у ортопеда.
Стоит понимать что: неврома Мортона, несмотря на свой небольшой размер, способна превратить жизнь в кошмар, лишив возможности свободно передвигаться и заниматься любимыми делами. Однако, это состояние хорошо изучено, а арсенал методов лечения – от консервативных до хирургических – позволяет эффективно помочь подавляющему большинству пациентов. Фактически, ключевой фактор успеха – время. Игнорирование первых симптомов ("поболит и пройдет"), продолжение ношения травмирующей обуви и откладывание визита к специалисту (ортопеду, травматологу) приводит к прогрессированию фиброза и необратимым изменениям нерва, значительно снижая шансы на успех консервативной терапии и зачастую делая операцию единственным выходом.
Не геройствуйте и не терпите боль. На самом деле, современные методы диагностики позволяют быстро установить причину метатарзалгии, а раннее начало лечения с коррекции обуви и подбором индивидуальных стелек в сочетании с физиотерапией дает высокие шансы на стойкую ремиссию без операции. Чем раньше вы обратите внимание на сигналы своего тела и примете меры, тем быстрее и проще вернетесь к жизни без боли. Так вот, слушайте свои стопы, заботьтесь о них, и они прослужат вам долгие годы без проблем.
Комментарии к статье